تصفّح بدون إعلانات واقرأ المقالات الحصرية
اشترك الآن
|
تسجيل الدخول
14
o
بيروت
16
o
طرابلس
15
o
صور
15
o
جبيل
16
o
صيدا
15
o
جونية
14
o
النبطية
12
o
زحلة
10
o
بعلبك
3
o
بشري
11
o
بيت الدين
8
o
كفردبيان
مباشر
الأبرز
لبنان
فيديو
خاص
مقالات لبنان24
رادار لبنان24
صحافة أجنبية
ضيوف لبنان 24
إقتصاد
عربي-دولي
متفرقات
صحة
فنون ومشاهير
رياضة
منوعات
تكنولوجيا وعلوم
المرأة
أفراح ومناسبات
تعازي ووفيات
المزيد
⋮
لبنان
فيديو
خاص
إقتصاد
عربي-دولي
متفرقات
بحث
تصفّح بدون إعلانات واقرأ المقالات الحصرية
|
اشترك الآن
تصفّح بدون إعلانات واقرأ المقالات الحصرية
اشترك الآن
|
تسجيل الدخول
الرئيسية
أخباري
مباشر
الأبرز
لبنان
فيديو
خاص
مقالات لبنان24
رادار لبنان24
صحافة أجنبية
ضيوف لبنان 24
إقتصاد
عربي-دولي
متفرقات
صحة
رياضة
فنون ومشاهير
منوعات
تكنولوجيا وعلوم
المرأة
أفراح ومناسبات
صور
تعازي ووفيات
كأس العالم2022
حالة الطقس
حركة السير
إستفتاء
من نحن
للاتصال بالموقع
لإعلاناتكم
لالغاء الاشعارات
Privacy Policy
جميع الحقوق محفوظة
© Lebanon24
تسجيل الدخول
- او -
تذكرني
نسيت كلمة السر؟
تسجيل الدخول
ليس لديك حساب؟
أنشئ حساب
Advertisement
صحة
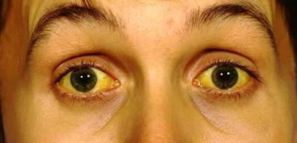
اصفرار العينين ليس المؤشر الوحيد.. 6 علامات على تلف الكبد
Lebanon 24
23-11-2016
|
02:17
A-
A+
photos
0
A+
A-
عندما يعمل الكبد بشكل جيد، فهو ينظف الدم، ويساعد على هضم الطعام وعلى محاربة العدوى؛ بل إنه يُعتبر بطلاً خارقاً في الجسد، فهو يمتلك القدرة على التجدد عندما يتعرض للتلف فيستبدل الأنسجة القديمة بخلايا جديدة. وتحذر مؤسسة الكبد الأميركية من أن "أي شيء يعيق الكبد عن القيام بعمله -أو عن النمو مرة أخرى بعد الإصابة- قد يضع حياتك في خطر". يمكن أن يكون هذا التهاباً، أو ندباً، أو سرطاناً، أو حتى استخدام كميات كبيرة من دواء التايلينول. وعلى الرغم من أن الكبد يكمن داخل الجسم، فإن الجسم يُعطي إشارات خارجية عندما يكون هناك شيء خاطئ. اللون الأصفر وفقاً للمكتبة الوطنية الأميركية للطب، يمكن أن يتحول لون بشرتك وبياض عينيك إلى اللون الأصفر عندما لا يعمل الكبد بشكل صحيح، وذلك بسبب تراكم مادة صفراء في الدم تسمى البيليروبين. وتضيف الخدمة الصحية الوطنية في المملكة المتحدة أن أعراض الاصفرار -تُسمى اليرقان- يمكن أن تحدث عندما يمنعها تلف الكبد من معالجة هذا البيليروبين. من الأسباب الشائعة لهذا النوع من تلف الكبد، السرطان وشرب الكثير من الكحول والمخدرات، والتعرض للمواد السامة والعدوى المختلفة. البول والبراز تشرح منظمة الخدمات الصحية الوطنية أن اليرقان أيضاً يغير لون البول والبراز، فيجعل لون البول أغمق والبراز شاحباً. الحكة تُصنف أمراض الكبد باعتبارها سبباً كامناً وراء حكة الجلد، وكذلك الفشل الكلوي، ومشاكل الغدة الدرقية والسرطان. تؤثر الحكة عادة على الجسم كله، قد يبدو الجلد طبيعياً باستثناء المناطق التي تُخدش مراراً وتكراراً. الكدمات يتعرض مرضى تلف الكبد للكدمات أو النزيف بسهولة أكبر؛ لأن الكبد قد تباطأ أو توقف عن إنتاج البروتينات اللازمة لتجلط الدم، وفقاً للمعهد الوطني للسكري وأمراض الجهاز الهضمي والكلى. في الواقع، يُنتج الكبد الكثير من عوامل التخثّر، وكلها تبدأ في الاختفاء لدى الأشخاص الذين يعانون تلفاً في هذا العضو. التورم عندما يعجز الكبد عن أداء وظيفته، يبدأ الجسم في الاحتفاظ بالماء في البطن والساقين، مما يُسبب التورم، وفقاً لعيادة مايو كلينيك. لكن تُحذر مستشفيات وعيادات جامعة ولاية إيوا من أن ما يصل إلى نصف الذين يعانون مرض الكبد لا تظهر عليهم أي علامات، وفي الحالات التي تُعلن فيها الأعراض الخفيفة عن نفسها، يكون أغلبها "غير محدد تماماً وتشمل التعب أو الإرهاق المفرط، وعدم وجود دافع، وحكة في بعض الأحيان". وبمجرد أن يتقدم الشخص إلى ما هو أكثر من تلك الأعراض المبكرة، تصير أضرار الكبد والآثار الجانبية أكثر خطورة. تقول مؤسسة الكبد الأميركية إن الأوعية الدموية المؤدية إلى الكبد يمكن أن تنفجر، وإن السموم يمكن أن تتراكم في الدماغ وتتداخل مع الوظائف العقلية، وكما يمكن أن يعاني المُصابون من الغثيان والإسهال. تقول المؤسسة "كلما زاد تلف الكبد، كلما تصير الأعراض أكثر خطورة" وتضيف "قد يُصبح المريض مشوشاً ومرتبكاً، ويغالبه النعاس بشدة، وهناك خطر من حدوث الغيبوبة والموت". عند هذه النقطة، ربما تكون عملية زرع الكبد هي الخيار الوحيد، لذلك فمن المهم محاولة التعرف على علامات تلف الكبد في مراحله المبكرة.
(Huffington Post)
Advertisement
مواضيع ذات صلة
"ألم الكتف" قد يكشف مرضًا خطيرًا في الكبد
Lebanon 24
"ألم الكتف" قد يكشف مرضًا خطيرًا في الكبد
03/04/2026 05:28:31
03/04/2026 05:28:31
Lebanon 24
Lebanon 24
هل الامتناع الكامل عن الكحول يعيد وظائف الكبد حتى في حالات التليف المتقدم؟ دراسة تجيب
Lebanon 24
هل الامتناع الكامل عن الكحول يعيد وظائف الكبد حتى في حالات التليف المتقدم؟ دراسة تجيب
03/04/2026 05:28:31
03/04/2026 05:28:31
Lebanon 24
Lebanon 24
هل الصيام آمن لمرضى الكبد؟
Lebanon 24
هل الصيام آمن لمرضى الكبد؟
03/04/2026 05:28:31
03/04/2026 05:28:31
Lebanon 24
Lebanon 24
اخلاء الديبلوماسيين ليس مؤشرا؟
Lebanon 24
اخلاء الديبلوماسيين ليس مؤشرا؟
03/04/2026 05:28:31
03/04/2026 05:28:31
Lebanon 24
Lebanon 24
تابع
قد يعجبك أيضاً
عادات يومية قد تقصر العمر وتزيد خطر الأمراض المزمنة!
Lebanon 24
عادات يومية قد تقصر العمر وتزيد خطر الأمراض المزمنة!
16:00 | 2026-04-02
02/04/2026 04:00:00
Lebanon 24
Lebanon 24
هل "فيتامين د" يقلل خطر الإصابة بألزهايمر؟
Lebanon 24
هل "فيتامين د" يقلل خطر الإصابة بألزهايمر؟
14:02 | 2026-04-02
02/04/2026 02:02:43
Lebanon 24
Lebanon 24
مرض نادر وخطير يهدد سكان ولاية أميركية.. هذه أعراضه
Lebanon 24
مرض نادر وخطير يهدد سكان ولاية أميركية.. هذه أعراضه
12:00 | 2026-04-02
02/04/2026 12:00:00
Lebanon 24
Lebanon 24
كيف يؤثر التدخين السلبي على صحة الفم لدى الأطفال؟
Lebanon 24
كيف يؤثر التدخين السلبي على صحة الفم لدى الأطفال؟
08:29 | 2026-04-02
02/04/2026 08:29:53
Lebanon 24
Lebanon 24
لاستقرار الغلوكوز.. اليكم هذه الخيارات الذكية للإفطار
Lebanon 24
لاستقرار الغلوكوز.. اليكم هذه الخيارات الذكية للإفطار
01:46 | 2026-04-02
02/04/2026 01:46:44
Lebanon 24
Lebanon 24
Advertisement
الأكثر قراءة
قرار زيادة سحوبات التعاميم مُتخذ.. ولكن ستُحتسب من ودائع المودعين!
Lebanon 24
قرار زيادة سحوبات التعاميم مُتخذ.. ولكن ستُحتسب من ودائع المودعين!
02:15 | 2026-04-02
02/04/2026 02:15:00
Lebanon 24
Lebanon 24
"فلتان وبدو دوا أعصاب".. إشكال بين مذيع "الجديد" وضيفته والأخيرة تنسحب من الحلقة (فيديو)
Lebanon 24
"فلتان وبدو دوا أعصاب".. إشكال بين مذيع "الجديد" وضيفته والأخيرة تنسحب من الحلقة (فيديو)
00:34 | 2026-04-02
02/04/2026 12:34:53
Lebanon 24
Lebanon 24
من جديد... سوريا تخوض حرباً من نوع آخر على "حزب الله"
Lebanon 24
من جديد... سوريا تخوض حرباً من نوع آخر على "حزب الله"
06:00 | 2026-04-02
02/04/2026 06:00:00
Lebanon 24
Lebanon 24
أُصيبت بجروحٍ كثيرة... فنانة تعرّضت لحادث سير مروّع وهذه صورتها من المستشفى
Lebanon 24
أُصيبت بجروحٍ كثيرة... فنانة تعرّضت لحادث سير مروّع وهذه صورتها من المستشفى
11:23 | 2026-04-02
02/04/2026 11:23:23
Lebanon 24
Lebanon 24
مهلة 5 أيام... تحذير من أصحاب مولّدات للمواطنين
Lebanon 24
مهلة 5 أيام... تحذير من أصحاب مولّدات للمواطنين
12:55 | 2026-04-02
02/04/2026 12:55:09
Lebanon 24
Lebanon 24
أخبارنا عبر بريدك الالكتروني
بريد إلكتروني غير صالح
إشترك
أيضاً في صحة
16:00 | 2026-04-02
عادات يومية قد تقصر العمر وتزيد خطر الأمراض المزمنة!
14:02 | 2026-04-02
هل "فيتامين د" يقلل خطر الإصابة بألزهايمر؟
12:00 | 2026-04-02
مرض نادر وخطير يهدد سكان ولاية أميركية.. هذه أعراضه
08:29 | 2026-04-02
كيف يؤثر التدخين السلبي على صحة الفم لدى الأطفال؟
01:46 | 2026-04-02
لاستقرار الغلوكوز.. اليكم هذه الخيارات الذكية للإفطار
23:00 | 2026-04-01
كيف يحمي الكرز الجسم من الالتهابات والأمراض المزمنة؟
فيديو
بالفيديو..غارات إسرائيلية إستهدفت الجناح
Lebanon 24
بالفيديو..غارات إسرائيلية إستهدفت الجناح
17:27 | 2026-03-31
03/04/2026 05:28:31
Lebanon 24
Lebanon 24
إطلالة نادرة جدا للفنانة نجاة الصغيرة.. وهذا ما قالته عن حقيقة صورتها على السوشيل ميديا (فيديو)
Lebanon 24
إطلالة نادرة جدا للفنانة نجاة الصغيرة.. وهذا ما قالته عن حقيقة صورتها على السوشيل ميديا (فيديو)
04:09 | 2026-03-27
03/04/2026 05:28:31
Lebanon 24
Lebanon 24
بدافع الانتقام.. أب أجبر ابنه المراهق على مساعدته في بناء قنبلة ضخمة
Lebanon 24
بدافع الانتقام.. أب أجبر ابنه المراهق على مساعدته في بناء قنبلة ضخمة
00:56 | 2026-03-22
03/04/2026 05:28:31
Lebanon 24
Lebanon 24
Download our application
مباشر
الأبرز
لبنان
فيديو
خاص
إقتصاد
عربي-دولي
متفرقات
أخبار عاجلة
Download our application
Follow Us
Download our application
بريد إلكتروني غير صالح
Softimpact
Privacy policy
من نحن
لإعلاناتكم
للاتصال بالموقع
Privacy policy
جميع الحقوق محفوظة
© Lebanon24