تصفّح بدون إعلانات واقرأ المقالات الحصرية
اشترك الآن
|
تسجيل الدخول
24
o
بيروت
23
o
طرابلس
23
o
صور
22
o
جبيل
21
o
صيدا
23
o
جونية
23
o
النبطية
20
o
زحلة
21
o
بعلبك
15
o
بشري
23
o
بيت الدين
22
o
كفردبيان
مباشر
الأبرز
لبنان
فيديو
خاص
مقالات لبنان24
رادار لبنان24
صحافة أجنبية
ضيوف لبنان 24
إقتصاد
عربي-دولي
متفرقات
صحة
فنون ومشاهير
رياضة
منوعات
تكنولوجيا وعلوم
المرأة
أفراح ومناسبات
تعازي ووفيات
المزيد
⋮
لبنان
فيديو
خاص
إقتصاد
عربي-دولي
متفرقات
بحث
تصفّح بدون إعلانات واقرأ المقالات الحصرية
|
اشترك الآن
تصفّح بدون إعلانات واقرأ المقالات الحصرية
اشترك الآن
|
تسجيل الدخول
الرئيسية
أخباري
مباشر
الأبرز
لبنان
فيديو
خاص
مقالات لبنان24
رادار لبنان24
صحافة أجنبية
ضيوف لبنان 24
إقتصاد
عربي-دولي
متفرقات
صحة
رياضة
فنون ومشاهير
منوعات
تكنولوجيا وعلوم
المرأة
أفراح ومناسبات
صور
تعازي ووفيات
كأس العالم2022
حالة الطقس
حركة السير
إستفتاء
من نحن
للاتصال بالموقع
لإعلاناتكم
لالغاء الاشعارات
Privacy Policy
جميع الحقوق محفوظة
© Lebanon24
تسجيل الدخول
- او -
تذكرني
نسيت كلمة السر؟
تسجيل الدخول
ليس لديك حساب؟
أنشئ حساب
Advertisement
صحة
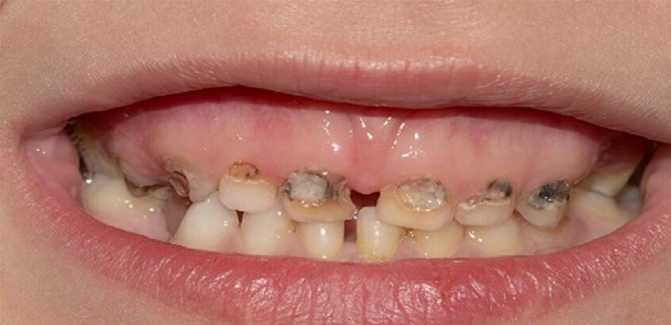
كيف يؤثر التدخين السلبي على صحة الفم لدى الأطفال؟
Lebanon 24
02-04-2026
|
08:29
A-
A+
photos
0
A+
A-
يزيد التعرض للتدخين السلبي من خطر تسوس الأسنان لدى الأطفال، إذ يضعف خصائص اللعاب الوقائية ويعزز الالتهابات في الجسم.
توصل باحثون من
كلية طب الأسنان
بجامعة الملك
عبد العزيز
إلى أن التعرض للتدخين السلبي يزيد من خطر تسوس الأسنان لدى الأطفال، بحسب دراسة نشرتها مجلة Frontiers in Oral Health."
Advertisement
وتمت دراسة 427 طفلا، حيث قيّم الباحثون عدد مرات استنشاقهم لدخان التبغ
في المنزل
أو السيارة أو أثناء التجمعات العائلية. وأظهرت النتائج أن أكثر من نصف الأطفال يعيشون في منازل مع بالغين مدخنين، وكان الأطفال المعرضون للدخان أكثر عرضة لتسوس الأسنان.
وكشفت التحليلات عن علاقة واضحة بين شدة التعرض للتدخين السلبي وحدّة تسوس الأسنان؛ فالأطفال غير المعرضين للدخان سجلوا أدنى معدلات التسوس، بينما كان أعلى المعدلات لدى من تعرضوا للدخان في المنزل والسيارة والتجمعات العائلية.
وأوضح الباحثون أن دخان التبغ يمكن أن يغير تركيبة وخصائص اللعاب، ويضعف تدفقه وقدرته على معادلة الأحماض، ما يسهل إزالة
المعادن
من مينا الأسنان وتطور التسوس. كما يعاني الأطفال المعرضون للتدخين السلبي من تراكم أكبر للجير والتهاب اللثة نتيجة تكوّن طبقة بكتيرية متغيرة وضعف المناعة الموضعية في الفم، بما في ذلك انخفاض نشاط الغلوبولين المناعي الإفرازي A.
وأشار الباحثون أيضا إلى أن العوامل السلوكية قد تزيد خطر التسوس، حيث ترتبط الأسر التي يدخن فيها البالغون بعادات غذائية غير صحية وارتفاع مؤشر كتلة الجسم لدى الأطفال، ما يسهم في تفاقم مشكلات الأسنان. (روسيا اليوم)
مواضيع ذات صلة
كيف يؤثر الدخل والتوتر المالي على صحة الدماغ؟
Lebanon 24
كيف يؤثر الدخل والتوتر المالي على صحة الدماغ؟
18/05/2026 17:51:40
18/05/2026 17:51:40
Lebanon 24
Lebanon 24
كيف تؤثر التغذية على نمو الأطفال الجسدي والعقلي؟
Lebanon 24
كيف تؤثر التغذية على نمو الأطفال الجسدي والعقلي؟
18/05/2026 17:51:40
18/05/2026 17:51:40
Lebanon 24
Lebanon 24
ما تأثير التهابات الفم على القلب؟
Lebanon 24
ما تأثير التهابات الفم على القلب؟
18/05/2026 17:51:40
18/05/2026 17:51:40
Lebanon 24
Lebanon 24
للأمهات...دراسة أميركية للحد من الكوابيس لدى الأطفال
Lebanon 24
للأمهات...دراسة أميركية للحد من الكوابيس لدى الأطفال
18/05/2026 17:51:40
18/05/2026 17:51:40
Lebanon 24
Lebanon 24
جامعة الملك عبد العزيز
كلية طب الأسنان
روسيا اليوم
جامعة الملك
عبد العزيز
طب الأسنان
في المنزل
المعادن
تابع
قد يعجبك أيضاً
لا لقاح لها... هذه أبرز المعلومات عن السلالة الجديدة من فيروس "إيبولا"
Lebanon 24
لا لقاح لها... هذه أبرز المعلومات عن السلالة الجديدة من فيروس "إيبولا"
09:00 | 2026-05-18
18/05/2026 09:00:00
Lebanon 24
Lebanon 24
كيف نتغلب على الإرهاق المزمن؟
Lebanon 24
كيف نتغلب على الإرهاق المزمن؟
08:18 | 2026-05-18
18/05/2026 08:18:03
Lebanon 24
Lebanon 24
إنتهاء رحلة السفينة الموبوءة بفيروس "هانتا".. وهذا مصير من بَقِيَ على متنها
Lebanon 24
إنتهاء رحلة السفينة الموبوءة بفيروس "هانتا".. وهذا مصير من بَقِيَ على متنها
06:12 | 2026-05-18
18/05/2026 06:12:52
Lebanon 24
Lebanon 24
إحذروا.. الشاي والقهوة يُقللان امتصاص المكملات الغذائية إليكم السبب
Lebanon 24
إحذروا.. الشاي والقهوة يُقللان امتصاص المكملات الغذائية إليكم السبب
04:00 | 2026-05-18
18/05/2026 04:00:00
Lebanon 24
Lebanon 24
أدوية إنقاص الوزن تُهدد استقرار العلاقات الزوجية.. هذا ما كشفه متخصصون
Lebanon 24
أدوية إنقاص الوزن تُهدد استقرار العلاقات الزوجية.. هذا ما كشفه متخصصون
02:08 | 2026-05-18
18/05/2026 02:08:55
Lebanon 24
Lebanon 24
Advertisement
الأكثر قراءة
مصر تدخل على خط الكهرباء في لبنان.. نهاية العتمة ليست سحرية
Lebanon 24
مصر تدخل على خط الكهرباء في لبنان.. نهاية العتمة ليست سحرية
11:00 | 2026-05-17
17/05/2026 11:00:00
Lebanon 24
Lebanon 24
سيارتها انقلبت عدة مرات وتهشمت بالكامل.. إعلامية شهيرة تتعرّض لحادث مروع (صور)
Lebanon 24
سيارتها انقلبت عدة مرات وتهشمت بالكامل.. إعلامية شهيرة تتعرّض لحادث مروع (صور)
23:24 | 2026-05-17
17/05/2026 11:24:47
Lebanon 24
Lebanon 24
حدثان خطيران في 24 ساعة.. لبنان أمام أيام مفصلية
Lebanon 24
حدثان خطيران في 24 ساعة.. لبنان أمام أيام مفصلية
06:00 | 2026-05-18
18/05/2026 06:00:00
Lebanon 24
Lebanon 24
تقرير إسباني عن "حرب لبنان".. ماذا قال؟
Lebanon 24
تقرير إسباني عن "حرب لبنان".. ماذا قال؟
15:00 | 2026-05-17
17/05/2026 03:00:00
Lebanon 24
Lebanon 24
عن "أموال حزب الله".. تفاصيل ينشرها مركز في تل أبيب
Lebanon 24
عن "أموال حزب الله".. تفاصيل ينشرها مركز في تل أبيب
14:00 | 2026-05-17
17/05/2026 02:00:00
Lebanon 24
Lebanon 24
أخبارنا عبر بريدك الالكتروني
بريد إلكتروني غير صالح
إشترك
أيضاً في صحة
09:00 | 2026-05-18
لا لقاح لها... هذه أبرز المعلومات عن السلالة الجديدة من فيروس "إيبولا"
08:18 | 2026-05-18
كيف نتغلب على الإرهاق المزمن؟
06:12 | 2026-05-18
إنتهاء رحلة السفينة الموبوءة بفيروس "هانتا".. وهذا مصير من بَقِيَ على متنها
04:00 | 2026-05-18
إحذروا.. الشاي والقهوة يُقللان امتصاص المكملات الغذائية إليكم السبب
02:08 | 2026-05-18
أدوية إنقاص الوزن تُهدد استقرار العلاقات الزوجية.. هذا ما كشفه متخصصون
23:41 | 2026-05-17
بشأن تفشي فيروس هانتا.. هذا آخر ما أعلنته منظمة الصحة العالمية
فيديو
وزارة الإعلام واليونسكو تطلقان حملة وطنية لتعزيز التربية الإعلامية ومكافحة التضليل
Lebanon 24
وزارة الإعلام واليونسكو تطلقان حملة وطنية لتعزيز التربية الإعلامية ومكافحة التضليل
04:51 | 2026-05-15
18/05/2026 17:51:40
Lebanon 24
Lebanon 24
بعد إعلان أحمد سعد انفصاله عن زوجته للمرة الثالثة.. هكذا علّقت الإعلامية ياسمين عز (فيديو)
Lebanon 24
بعد إعلان أحمد سعد انفصاله عن زوجته للمرة الثالثة.. هكذا علّقت الإعلامية ياسمين عز (فيديو)
02:18 | 2026-05-09
18/05/2026 17:51:40
Lebanon 24
Lebanon 24
زوجها مُصاب به أيضا.. فنانة شهيرة تكشف عن مرض ابنتها المزمن (فيديو)
Lebanon 24
زوجها مُصاب به أيضا.. فنانة شهيرة تكشف عن مرض ابنتها المزمن (فيديو)
03:24 | 2026-05-02
18/05/2026 17:51:40
Lebanon 24
Lebanon 24
Download our application
مباشر
الأبرز
لبنان
فيديو
خاص
إقتصاد
عربي-دولي
متفرقات
أخبار عاجلة
Download our application
Follow Us
Download our application
بريد إلكتروني غير صالح
Softimpact
Privacy policy
من نحن
لإعلاناتكم
للاتصال بالموقع
Privacy policy
جميع الحقوق محفوظة
© Lebanon24